Вэбсайтын цэс
Хэлний сонголт
Дэлхийн хамгийн хүчирхэг MRI сканерын анхны зургууд
                                              Дэлхийн хамгийн хүчирхэг MRI сканерын анхны зургууд

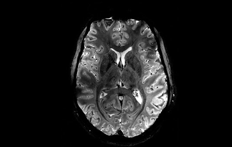
11.7 Тесла хүчин чадалтай шинэ Iseult MRI төхөөрөмжөөр авсан тархины зургийн нарийвчлалын түвшнийг харуулж байна. (Зураг: CEA)

Францын Алтернатив эрчим хүч ба атомын энергийн комисс (CEA) 11.7 тесла соронзон орны хүчин чадалтай дэлхийн хамгийн хүчирхэг сканер болох Iseult соронзон резонансын дүрслэл (MRI) аппаратыг ашиглан авсан тархины цоо шинэ зургуудыг дэлгэлээ. Хорин жилийн турш явагдаж буй уг төсөл нь тархи судлалд томоохон ахиц дэвшил гаргах зорилготой юм. 

Уг төхөөрөмж нь эмнэлгүүдэд одоогоор ашиглагдаж буй 1.5 эсвэл 3 тесла, соронзон орны бага хүчин чадалтай MRI сканертай харьцуулахад ердөө дөрвөн минутын дотор маш нарийвчилсан анатомийн зургийг гаргах чадалтай юм.

Энэхүү технологийн тусламжтайгаар Алцхеймер, Паркинсон зэрэг мэдрэлийн доройтлын өвчнийг оношлох, мөн шизофрени, хоёр туйлт эмгэг зэрэг сэтгэцийн эмгэгийн талаарх ойлголт, эмчилгээг сайжруулахад ахиц дэвшил гаргахаар зорьж байна. Соронзон орны өндөр хүч нь тархин дахь химийн төрөл зүйлийн илрүүлэлтийг нэмэгдүүлж, тархины бүтэц үйл ажиллагааг судлахад мөн ихээхэн тустай юм.

Эх сурвалж: https://www.cea.fr/english


Бусад мэдээлэл
Хамтын ажиллагаа
11 сарын өмнө
Хамтын ажиллагаа
1 жилийн өмнө